Австралийский ученый попал в больницу с магнитами в носу, пытаясь создать устройство от коронавируса
Астрофизик Дэниел Рирдон хотел создать устройство, которое помогало бы людям не касаться своих лиц
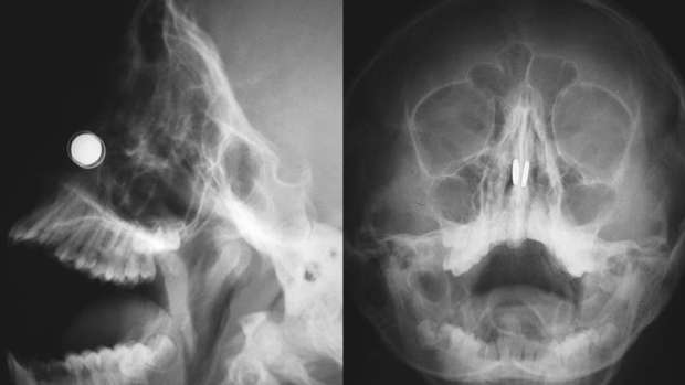
Сегодня каждый делает свой вклад в борьбу с коронавирусом. SpaceX Илона Маска производит антисептики и защитные маски. Модный дом Armani Group выпускает медицинские халаты. А австралийский астрофизик, доктор Дэниел Рирдон решил смастерить устройство, которое помогло бы людям избавиться от привычки прикасаться к лицу и уменьшило бы риск заражения коронавирусом. Однако эта затея закончилась в больнице после того, как в носу ученого застряло 4 магнита, сообщает The Guardian.
По задумке Рирдона, устройство должно было состоять из магнитов и ожерелья, которое бы издавало предупреждающий сигнал при попытке человека поднести руку к лицу. 27-летний астрофизик признался, что опыта в создании электроники у него не было. Зато у него была идея и четыре мощных неодимовых магнита. А еще Рирдону было скучно в самоизоляции, так что он решил воплотить свой замысел в жизнь.
Попытка не увенчалась успехом. Ожерелье, созданное ученым, работало с точностью до наоборот: оно постоянно издавало звуковой сигнал, отключить который можно было лишь поднеся руку к лицу. Рирдон забросил затею и стал просто развлекаться с магнитами, и тут ситуация вышла из-под контроля.







Оставить комментарий